결막 및 기타질환
결막 및 기타질환
눈물흘림의 원인이 되는 질환, 결막낭성형술
내안각부위에 발생할 경우 누점을 막아 누액배출을 방해하여 눈물흘림증, 눈가짓무름을 유발합니다.
결막낭성형술의 수술목적
-
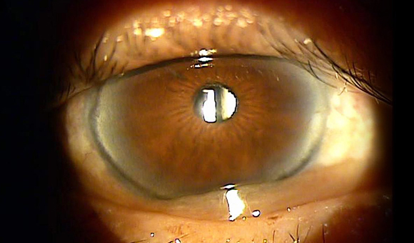
수술 전

-
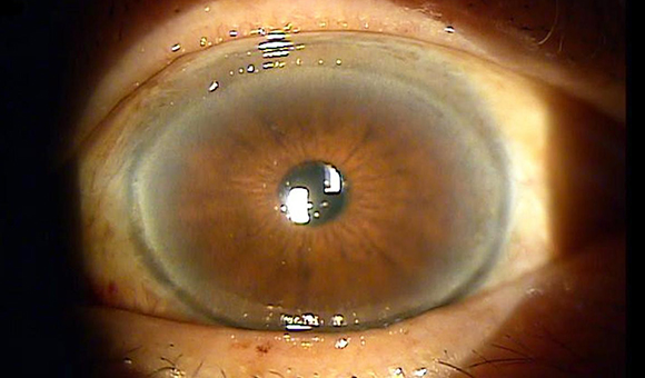
수술 후

-
수술시간
단안 20min
-
마취방법
국소마취
-
입원여부
당일퇴원
-
실밥제거
7일 후
눈 아래 결막의 노출, 안검외반증 수술
이완된 경우 눈물흘림증이나 결막의 충혈, 각막염 등을 유발합니다.
안검외반증 수술의 목적
-
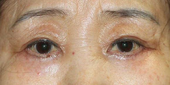
수술 전

-
수술 후

-
수술시간
양안 30min
-
마취방법
국소마취
-
입원여부
당일퇴원
-
실밥제거
7일 후
눈썹의 높이가 다른 질환, 눈썹 처짐증
눈썹 처짐증의 수술효과
-
수술 전

-
수술 후

-
수술시간
양안 30min
-
마취방법
국소마취
-
입원여부
당일퇴원
-
실밥제거
7일 후

